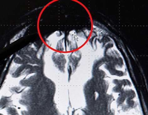
Tras investigar y analizar los cerebros de criminales violentos, el neurólogo alemán Gerhard Roth asegura que la “mancha del mal” se encuentra en el lóbulo frontal del órgano y se ve como una masa oscura en los escáneres.
En un estudio financiado por el gobierno alemán, Roth se contactó con un grupo de asesinos y violadores y en varias sesiones les mostró películas cortas con escenas brutales para medir las ondas que emanaban sus cerebros al verlas.
“Siempre que había escenas brutales, algunos sujetos no mostraban ninguna emoción. En las áreas del cerebro donde se crea la compasión y la tristeza, no pasaba nada”, explicó Roth, de la Universidad de Bremen.
Sin embargo, en los escaneos cerebrales de las mismas personas, se veía una mancha oscura en la parte frontal, lo que supone que algunos criminales tienen una “predisposición genética” a la violencia.
Además, el neurólogo señaló que hay casos en los que alguien comete crímenes como resultado de un tumor en esa área del cerebro y cuando les extraen el tumor, esas personas vuelven a su personalidad habitual. Agregó que el comportamiento antisocial es fácil de detectar desde una edad temprana.
Por último, Roth explicó que existen tres tipos de criminales: la persona sana en términos psicológicos que cambia según los estímulos externos del ambiente; los que ya poseen capacidades mentales perturbadas y creen que todo el mundo está en su contra; y el tercer grupo de personas son psicópatas puros, como Hitler o Stalin.

