La diputada federal del PRD, Yesenia Nolasco Ramírez, informó que promueven un punto de acuerdo para exhortar a la Secretaría de Salud (SSA) a que realice campaña de detección temprana de cáncer de pulmón, que causa ocho mil muertes al año.
«En México se diagnostican anualmente ocho mil 600 nuevos casos de cáncer de pulmón, el cual provoca la muerte de ocho mil personas», aseguró la diputada por el Distrito Federal.
Precisó que el punto de acuerdo que impulsa es para solicitar a la SSA y a la Secretaría de Desarrollo Social que promuevan campañas de detención temprana a fin de disminuir este grave padecimiento que representa un severo problema de salud pública.
«Es urgente sensibilizar y capacitar a los profesionales de la salud encargados de la atención primaria, incluyendo un diagrama en el cual se especifiquen los principales síntomas y pueda detectarse de manera temprana», detalló.
Explicó que lo anterior será de gran utilidad y facilitará el pase a las unidades de especialidades, lo que evitará defunciones, mediante la reducción del tiempo desde la sospecha diagnóstica hasta el inicio del tratamiento adecuado.
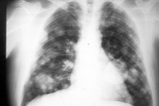
El cáncer de pulmón se origina cuando las células comienzan a reproducirse de manera descontrolada, forman un tumor y se trasladan a otras partes del organismo donde crecen y crean nuevos tumores que remplazan al tejido normal, refirió.
«Generalmente comienza en las células que envuelven los bronquios, los bronquiolos y/o los alvéolos», especificó Nolasco Ramírez.
Asimismo, resaltó que de todos los tipos de cáncer que se conocen, el de pulmón es el que causa más decesos, ya que en México cada día 22 personas pierden la vida por esta enfermedad, de acuerdo con la Clínica de Cáncer de Pulmón y Tumores Torácicos del Instituto Nacional de Cancerología (INCAN).
Este mal, ahondó, es muy agresivo y se propaga con mucha rapidez, ya que 90 por ciento de los pacientes mueren antes de los 18 meses de que se les detectó.
Además, en México 7.2 por ciento de los pacientes con cáncer tienen tumores malignos en los pulmones, según el Globocan (proyecto especializado en proporcionar estimaciones contemporáneas de la incidencia de la mortalidad y la prevalencia de los principales tipos de cáncer a nivel nacional).
Este padecimiento, acotó, es el segundo de mayor mortandad para los hombres, con 14 por ciento de las muertes por tumores malignos, después del de próstata.
Finalmente, refirió que a nivel mundial, el cáncer de pulmón ocupa el primer lugar en incidencia y mortalidad, representa el problema principal de salud en materia de oncología y uno de los más importantes en general, siendo la décima causa de muerte a nivel global.

